
A prótese de joelho é indicada apenas para pessoas idosas?
Mito! A prótese de joelho é indicada para casos de artrose avançada (Grau 4) no qual se tem uma destruição completa da articulação. Há casos de pessoas jovens que sofrerem algum acidente (por exemplo motociclístico ou de carro) e foram operadas inúmeras vezes do joelho, acabaram perdendo os meniscos e/ou os ligamentos, sem grande sucesso nos procedimentos e houve uma degeneração muito rápida dessa articulação (artrose pós-traumática). Também há casos de pessoas com doenças autoimunes, como por exemplo a artrite reumatoide ou lúpus, que tem uma destruição articular importante independentemente da idade. Nesses casos, quando existe uma perda importante da função do joelho e o paciente está perdendo progressivamente qualidade de vida é indicada a prótese total de joelho, mesmo em pacientes jovens.
Toda artrose deve ser tratada exclusivamente com prótese?
Mito! Existem cirurgias de preservação articular que são procedimentos nos quais a gente trata artrose às vezes de maneira definitiva, às vezes de maneira mais paliativa. Existe a osteotomia, que indicamos nos casos que o paciente apresenta artrose em apenas um compartimento do joelho associado a uma deformidade (joelho torto). Nesse caso mudamos o eixo do joelho para reequilibrar as cargas entre os compartimentos e reduzir / evitar a progressão da artrose. Existe a subcondroplastia, que é uma técnica na qual introduzimos um cimento biológico na área de hiper pressão óssea para preencher o defeito medular presente no osso e minimizar os sintomas da artrose. Em casos que o paciente não está preparado para realizar a cirurgia de prótese pode-se tentar uma artroscopia para fazer uma limpeza articular como forma paliativa de reduzir os sintomas e postergar um pouco a cirurgia definitiva.
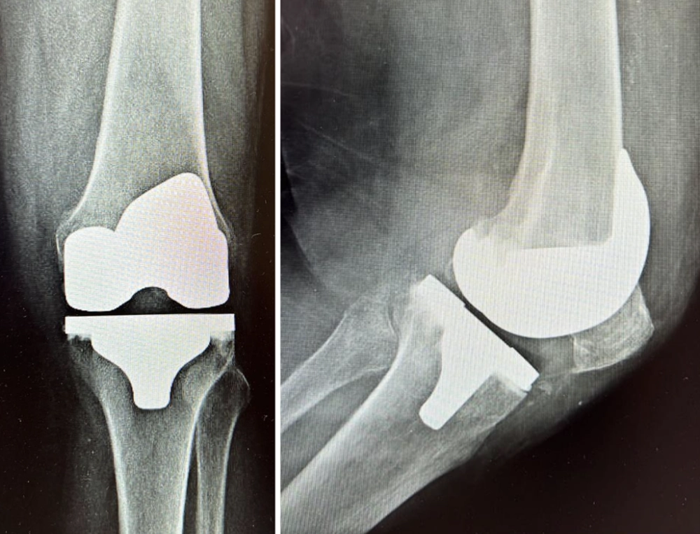
Na cirurgia de prótese toda articulação do joelho deve ser trocada?
Mito! Para os casos em que o paciente possui artrose em apenas uma parte do joelho, existe hoje a chamada prótese monocompartimental ou prótese unicompartimental na qual se substitui apenas o compartimento danificado preservando o restante dos compartimentos do joelho. Infelizmente em alguns casos após alguns anos é necessário converter para prótese total de joelho.
Quem faz prótese total de joelho não pode praticar esportes? Tem que ficar em casa repousando para preservar a prótese?
Mito! Quem realizou a prótese de joelho não apenas PODE como DEVE praticar esportes que devem ser prescritos tanto pelo médico quanto pelo educador físico. A prática de esportes possui um impacto direto na redução das comorbidades como a pressão alta, diabetes, obesidade, depressão, dislipidemia, dentre outras. Além disso, sabe-se que quem pratica esportes têm uma qualidade óssea melhor e isso reduz o risco de soltura da prótese. Dessa forma, esportes de baixo impacto como por exemplo natação, ciclismo, musculação, alguns tipos de ginástica, caminhada, são muito bem indicados para os pacientes quem realizou a cirurgia de prótese de joelho.
Toda prótese total de joelho dura no máximo 10 anos?
Mito! Os relatos hoje da literatura mostram evidências de que a maioria das próteses importadas duram cerca de 20 a 30 anos, desde que sejam bem realizadas por cirurgião experiente, os pacientes sejam bem reabilitados na fisioterapia e fortalecidos por treinadores experientes, sigam todas as orientações do médico assistente, mantendo acompanhamento clínico.





