É um processo degenerativo crônico decorrente de uma sobrecarga crônica por tração da fáscia plantar, o que gera microrroturas nessa estrutura e consequentemente dor.

A principal atividade física relacionada com essa patologia é a corrida, chegando a 10% dos corredores. Outros fatores são obesidade, idade avançada, alterações na pisada como pé́ plano e pé́ cavo, encurtamento do tendão de aquiles, atrofia do coxim gorduroso plantar, uso de calçados de solado baixo e duro e pessoas que necessitam ficar longos períodos em pé́ diariamente.
Alguns dos sintomas são a dor (em fisgada ou queimação) que se inicia pela manhã̃, logo após o paciente sair da cama, ou a dor ao levantar após ter permanecido sentado por um longo período. Essa dor pode diminuir após um período de atividade.
Na grande maioria dos casos o diagnóstico é clínico, porém, em alguns, casos exames de radiografia, ultrassonografia ou até́ a ressonância magnética pode auxiliar o diagnóstico.
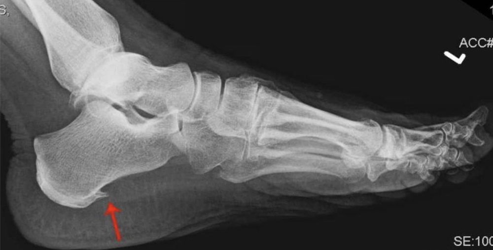
O esporão do calcâneo é encontrado em apenas 50% dos casos e não deve ser apontado como causa da dor. Ele é uma calcificação gerada pelo aumento das forças compressivas associadas a tração exercida por alguns elementos plantares (flexor curto dos dedos) no periósteo da tuberosidade plantar.

As principais formas de tratamento consistem em medicamentos anti-inflamatórios, uso de palmilhas, órteses de uso noturno, exercícios de alongamento, fisioterapia, infiltração, terapia por ondas de choque e até́ tratamento cirúrgico em último caso.
Mais de 90% dos casos são eficientemente tratados conservadoramente, porém, são comuns períodos de melhora e recidiva e, em alguns casos, podem ser necessários até́ 1 ano de tratamento para melhora completa.
Você tem dor no calcanhar? Agende uma consulta com nossos ortopedistas!





