Artrose, coxartrose ou desgaste de quadril são os termos utilizados para definir as doenças relacionadas à perda da cartilagem entre a cabeça do fêmur e o acetábulo (figura 1) que ocorre devido a diminuição do espaço articular (Figura 2).
A artrose de quadril geralmente acomete pessoas acima dos 45 anos, entretanto, jovens também podem apresentá-la. Algumas doenças da infância como Legg – Calvé – Perthes e Epífisiólise do colo femoral podem gerar alterações na articulação que levam a artrose precoce, antes mesmo dos 30 anos. A osteonecrose da cabeça femoral com colapso também é uma das causas de desgaste nesta articulação, onde o principal fator contribuinte para ela é o uso prolongado de corticóides.
As opções de tratamento são variadas e vão depender muito do diagnóstico. Quanto mais cedo a doença for diagnosticada maiores são as opções de tratamentos não-cirúrgicos e cirúrgicos que podem ser utilizados.


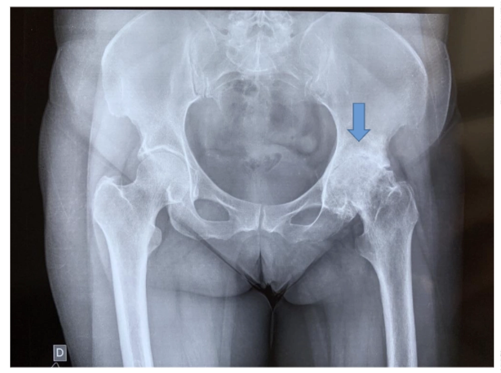
Rx demonstrando uma artrose grave de quadril esquerdo, paciente já com limitação e dor importante para caminhar e com dificuldade para atividades básicas do dia a dia.
Quais os sintomas?
Os primeiros sintomas são as dores na região da virilha ao caminhar. Esses sintomas podem se irradiar para joelho e parte interna da coxa e posteriormente, levar a uma diminuição do movimento do quadril com dificuldades para atividades básicas do dia-a-dia como simplesmente calçar uma meia ou um sapato.
Devido a dor, o paciente acaba por “mancar”, e essa condição pode acarretar problemas na coluna lombar que antes não existiam. Por essa razão é de extrema importância procurar atendimento médico assim que surgirem os primeiros sintomas.
Como fazer o diagnóstico?
O diagnóstico é feito no consultório através do exame físico do paciente e com um simples exame de RX. Exames mais complexos como Ressonância Magnética não são necessários. Entretanto, casos mais graves podem necessitar de tomografia.
Seguem abaixo, alguns exemplos:

Artrose severa do quadril esquerdo – seta.

Artrose severa quadril direito – seta.
Fisioterapia ajuda?
A fisioterapia é indicada para alguns pacientes antes da cirurgia e para todos os pacientes pós-cirúrgicos pois visa o ganho e o reforço muscular que é de extrema importância na recuperação. Geralmente pacientes com artrose mais grave que já possuem algum grau de encurtamento dos membros irão necessitar de um acompanhamento mais prolongado de fisioterapia pois nestes casos, ocorre um desbalanço muscular que envolve toda musculatura da pelve e da coluna lombar.
Quando a cirurgia é indicada?
A cirurgia é indicada para a melhora da qualidade de vida do paciente. O objetivo é o alívio da dor e promover ao paciente a retomada das atividades que ele realizava antes da artrose. A decisão do procedimento cirúrgico deve ser tomada entre o paciente, familiares e seu médico assistente após o esclarecimento de todas as dúvidas.
Existe uma idade mínima para fazer a prótese?
Não existe uma idade mínima para realizar prótese de quadril. O que vai definir a realização da cirurgia são os sintomas do paciente, tais como a dor e a limitação das suas atividades. A cirurgia tem por objetivo a melhora da qualidade de vida. Hoje em dia, já existem no mercado próteses que possuem uma durabilidade extremamente alta. No que diz respeito a modernidade das próteses, existem vários estudos científicos em nível internacional que estão em acompanhamento e com ótima evolução. Por esse motivo, aguardar por vários anos com desgaste de quadril sofrendo com dores e limitações hoje já não mais uma opção.
Como é a cirurgia?
O procedimento cirúrgico que corresponde a colocação de uma prótese no quadril é chamado de Artroplastia. Esta prótese substitui a articulação com desgaste e permite que o paciente faça as suas atividades sem dor e sem limitação do movimento do quadril.
Geralmente a cirurgia é realizada com anestesia raquidiana acompanhada por sedação e o paciente fica anestesiado do quadril para baixo.
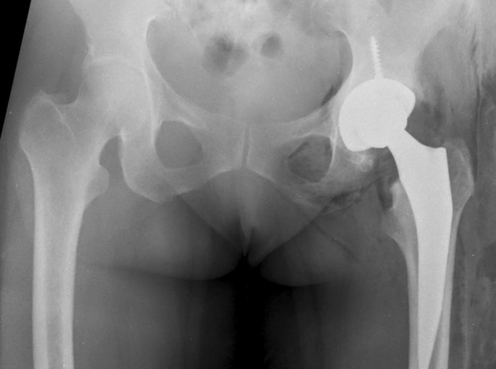
A imagem em anexo demonstra como a prótese fica localizada em relação aos ossos do quadril:

Exemplo de como fica localizada a prótese.

Exemplo de uma prótese total quadril esquerdo de cerâmica não cimentada.

Exemplo de uma prótese total quadril direito de cerâmica não cimentada.

Exemplo de prótese total de quadril híbrida esquerda.
Quais os tipos de próteses existentes?
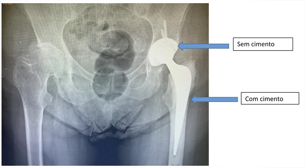
Existem no mercado diversos modelos de prótese de quadril para cirurgias primárias e revisões. Neste artigo, irei abordar os 3 principais tipos de próteses primárias realizadas: a não-cimentada (figura 3), a cimentada (figura 2) e as próteses híbridas onde geralmente o fêmur é cimentado e o acetábulo não cimentado (figura 4). A utilização de cada uma delas depende da experiência do cirurgião e da avaliação clínica de cada paciente.
Na figura 1 podemos observar os componentes de uma prótese: cabeça femoral, haste femoral e componente acetabular e seu insert de polietileno.

Figura 1

O material que é utilizado para o “encaixe” da prótese é chamado de par tribológico. Esse encaixe pode ser feito por diversos materiais, como polietileno, metal e cerâmica. Na figura 5, temos uma amostra do desgaste anual de diversos pares tribológicos. Podemos perceber que o par tribológico cerâmica-cerâmica demonstra menos desgaste por ano, ou seja, uma tendência de durabilidade maior. Essa é uma das razões pela qual o conjunto metal – polietileno ser cada vez menos utilizado.

Figura 5

Acetábulo de Cerâmica e de Polietileno de uma prótese de quadril.

Cabeça de cerâmica de uma prótese de quadril.
Qual a diferença entre uma prótese cimentada e uma não cimentada?
A principal diferença entre uma prótese cimentada e não-cimentada é que na segunda, os componentes femoral e acetabular, são fixados sobre pressão no osso sem necessidade de cimento enquanto que na primeira, é utilizado um cimento cirúrgico que mantém os componentes na posição correta.
Abaixo, você pode ver uma prótese híbrida onde o acetábulo foi realizado com um componente não-cimentado e no fêmur foi utilizado cimento:

Quanto tempo demora para começar a caminhar?
O paciente começa a caminhar logo o pós-operatório, não necessitando ficar acamado. São utilizadas duas muletas ou andador, dependendo de cada caso. Geralmente é utilizado o andador em paciente mais idosos e as muletas para paciente mais jovens. O andador permite um melhor equilíbrio para caminhar, por isso a preferência do seu uso nos pacientes idosos. O paciente já sai do hospital caminhando.
Vou poder apoiar minha perna operada no pós-operatório?
Nos casos em que a cirurgia é primária (primeira vez que o paciente fez a prótese) e que não foi utilizado enxerto ósseo é permitido o apoio total da perna operada no pós-operatório com auxilio de muletas ou andador. Entretanto, nos casos de revisões de prótese de quadril (quando se retira uma prótese para colocar outra) ou na utilização de enxerto ósseo, geralmente o paciente fica um período com apoio parcial, que significa que o peso do corpo é divido entre a perna operada e o andador ou muleta. Lembrando sempre que cada caso deve ser avaliado individualmente.
Quando vou poder dirigir?
Geralmente, a liberação para dirigir é em 40 dias, mas cada caso deve ser avaliado individualmente. Alguns pacientes irão conseguir voltar a sua rotina antes enquanto outros, irão demorar um pouco mais. O pós-operatório irá depende muito da gravidade do desgaste que o paciente tinha antes da cirurgia e da atrofia da musculatura do quadril da perna operada.
Vou poder subir e descer escadas?
Sim, o paciente pode subir e descer escadas, e o método correto para poder fazer isso vai ser explicado ainda no hospital.
Vou poder praticar esportes?
Esportes como futebol, artes marciais e outros que tenham contato físico e que possam levar a possíveis quedas devem ser evitados, pois estes, aumentam a chance de sofrer uma fratura de fêmur com soltura da prótese. Demais atividades físicas como academia, natação, hidroginástica, hidroterapia, Pilates, tênis e outros que não possuam contato físico estão liberadas conforme avaliação de cada caso respeitando as orientações médicas.
Em quanto tempo retiro os pontos?
A retirada dos pontos é realizada em 14 dias após a cirurgia no consultório.
Quanto custa uma prótese?
Existem diversas marcas de prótese no mercado, o valor vai depender do material que ela é feita, se é nacional ou importada e se é cimentada ou não.
Próteses que utilizam componentes de cerâmica e polietileno crosslinked geralmente são mais caras que próteses de metal e polietileno normal, porém tendem a apresentar uma maior durabilidade (já comprovada em estudos internacionais). Outro fator que muda o preço das próteses é se o componente é cimentado ou não. Os componentes não-cimentados geralmente são mais caros. Resumindo a prótese de quadril pode ter uma ampla variação de preço dependendo do material que for utilizado.
Quanto dura uma prótese de quadril?
A durabilidade da prótese de quadril depende de fatores, como a utilização da prótese, da técnica cirúrgica do cirurgião e dos materiais com que a prótese é feita.
A prótese desgasta com o passar dos anos conforme a sua utilização, se o paciente é jovem e ativo quanto mais movimento tiver na prótese mais ela produz desgaste, por isso a importância de utilizar próteses com baixo índice de desgaste anual como as com par tribológico (conjunto da prótese) de cerâmica – polietileno crosslink e cerâmica – cerâmica.
Diversos estudos já demonstram que há uma menor taxa de desgaste nesse tipo de par tribológico (abaixo seguem alguns artigos internacionais) e consequentemente maior durabilidade, podendo muitas vezes durar para vida toda sem necessidade de troca. Por esse motivo os cuidados do paciente e a escolha de uma prótese de qualidade com materiais adequados em conjunto com uma boa técnica cirúrgica com cirurgião experiente são fundamentais para durabilidade da prótese do quadril.
Artigos Internacionais sobre Próteses de Cerâmica:
Lau YJ, Sarmah S, Witt JD. 3rd generation ceramic-on-ceramic cementless total hip arthroplasty: a minimum 10-year follow-up study. Hip Int. 2018 Mar;28(2):133-138. doi: 10.1177/1120700018768617. PMID: 29890910.
Wang T, Sun JY, Zhao XJ, Liu Y, Yin HB. Ceramic-on-ceramic bearings total hip arthroplasty in young patients. Arthroplast Today. 2016 Aug 25;2(4):205-209. doi: 10.1016/j.artd.2016.04.004. PMID: 28326429; PMCID: PMC5247519.
Sentürk U, Perka C. Keramik-Keramik-Gleitpaarungen in der primären Hüftendoprothetik [Ceramic-on-ceramic bearings in total hip arthroplasty (THA)]. Z Orthop Unfall. 2015 Apr;153(2):198-202. German. doi: 10.1055/s-0035-1545802. Epub 2015 Apr 14. PMID: 25874400.
Hu D, Tie K, Yang X, Tan Y, Alaidaros M, Chen L. Comparison of ceramic-on-ceramic to metal-on-polyethylene bearing surfaces in total hip arthroplasty: a meta-analysis of randomized controlled trials. J Orthop Surg Res. 2015 Feb 3;10:22. doi: 10.1186/s13018-015-0163-2. PMID: 25645809; PMCID: PMC4324779.
Pedersen DR, Callaghan JJ, Miller RK. Ceramic-on-polyethylene bearing surfaces in total hip arthroplasty. Seventeen to twenty-one-year results. J Bone Joint Surg Am. 2001 Nov;83(11):1688-94. doi: 10.2106/00004623-200111000-00011. PMID: 11701792.
Wang S, Zhang S, Zhao Y. A comparison of polyethylene wear between cobalt-chrome ball heads and alumina ball heads after total hip arthroplasty: a 10-year follow-up. J Orthop Surg Res. 2013 Jul 8;8:20. doi: 10.1186/1749-799X-8-20. PMID: 23835248; PMCID: PMC3720196.
Davidson JA. Characteristics of metal and ceramic total hip bearing surfaces and their effect on long-term ultra high molecular weight polyethylene wear. Clin Orthop Relat Res. 1993 Sep;(294):361-78. PMID: 8358943.
A cirurgia para troca de prótese de quadril é simples?
Não, a cirurgia para troca de prótese não é simples, é uma cirurgia grande e complexa, com mais riscos para o paciente e muito mais difícil de ser realizada quando comparada à prótese que é colocada pela primeira vez. Por isso que a escolha de uma prótese de qualidade, o cuidado do paciente e um cirurgião experiente é de suma importância para longevidade da prótese.





